Figures

Figure 1. EKG showing supraventricular tachycardia.

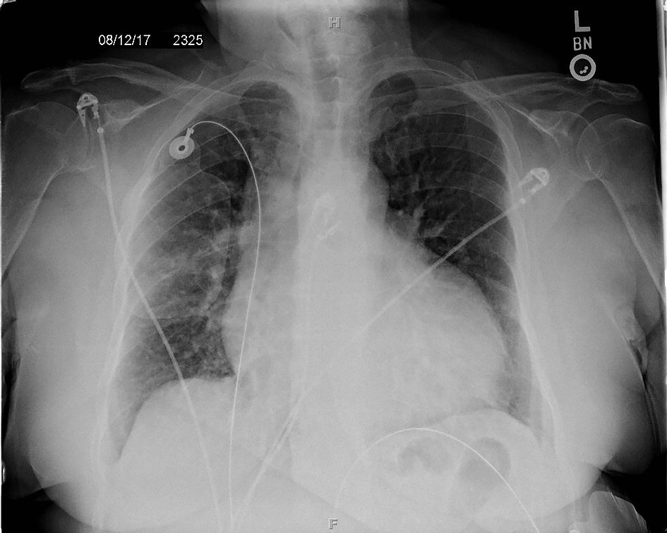
Figure 2. Posterior-anterior chest X-ray showing enlarged cardiac silhouette and vascular congestion.

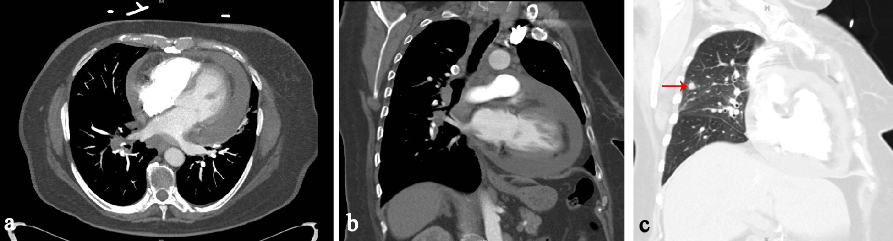
Figure 3. (a) CT chest axial view showing pericardial effusion. (b) CT chest coronal view showing pericardial effusion. (c) CT chest coronal view in lung window showing 7 mm nodule in right upper lobe (red arrow).

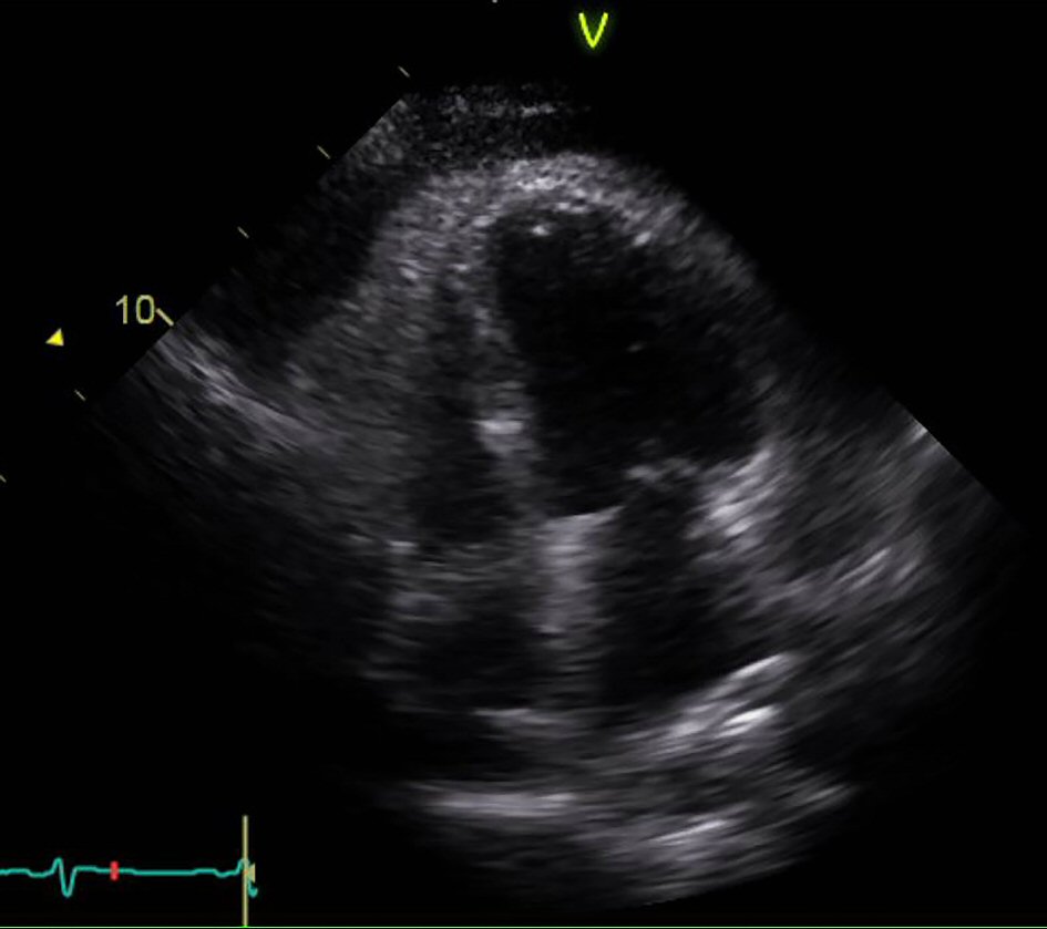
Figure 4. Echocardiogram apical view showing right ventricular collapse in diastole.

Figure 5. EKG showing sinus tachycardia.

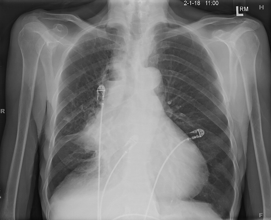
Figure 6. Posterior-anterior chest X-ray showing cavitary lesion with an air-fluid level in the right upper lobe and an enlarged cardiac silhouette.

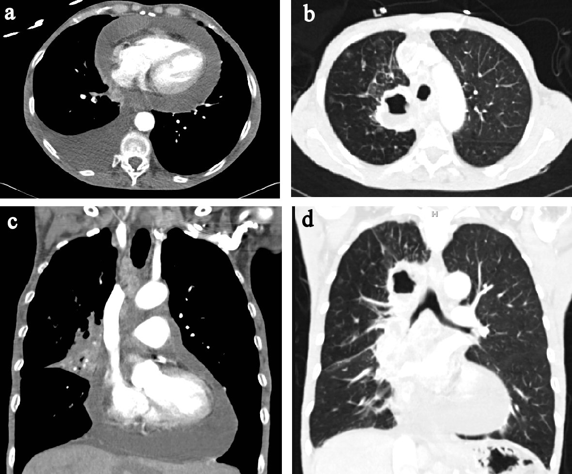
Figure 7. (a) CT chest axial view showing pericardial effusion. (b) CT chest axial view showing in pulmonary window showing air filled cavity with air-fluid level. (c) CT chest coronal view showing pericardial effusion. (d) CT chest coronal view in pulmonary window.

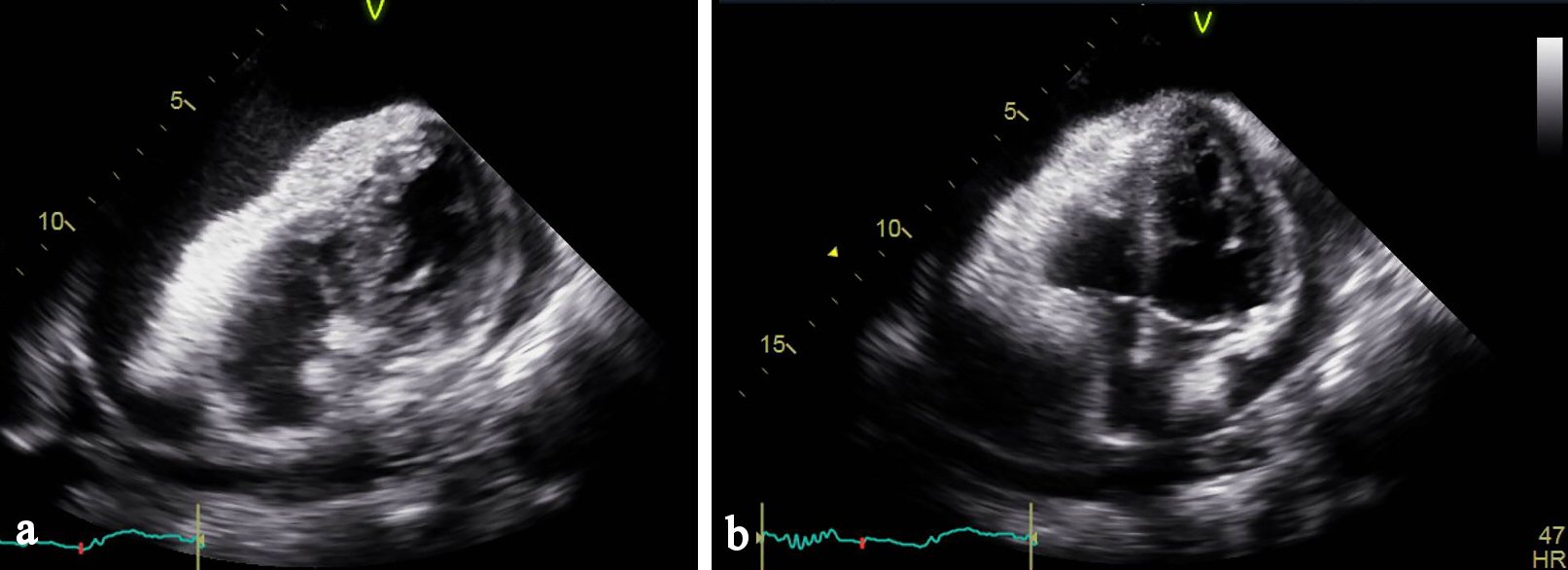
Figure 8. (a) Echocardiogram apical view showing right ventricular collapse in diastole. (b) Echocardiogram apical view showing right atrial collapse in diastole.