| World Journal of Oncology, ISSN 1920-4531 print, 1920-454X online, Open Access |
| Article copyright, the authors; Journal compilation copyright, World J Oncol and Elmer Press Inc |
| Journal website http://www.wjon.org |
Original Article
Volume 3, Number 4, August 2012, pages 173-181
Low-Dose Aspirin Therapy Does not Increase the Severity of Acute Radiation Proctitis
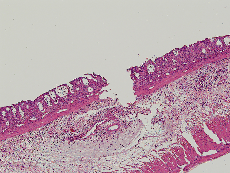
Figure

Tables
| The Morphological Mucosal Damage | ||
|---|---|---|
| The severity of proctitis was evaluated pathologically regarding the morphological mucosal damage, the degree of inflammation, and the depth of inflammation. The results were graded from 0 to 4, and then were compared. | ||
| 0 = Normal or minor alterations which could not be ascribed with certainly to radiation | ||
| 1 = Slight crypt change without loss of epithelium | ||
| 2 = Crypt change with loss of epithelium equaling less than one-half | ||
| 3 = Crypt change with loss of epithelium greater than one-half | ||
| 4 = Loss of epithelium through muscularis mucosa | ||
| The Degree of Inflammation | ||
| The severity of proctitis was evaluated pathologically regarding the morphological mucosal damage, the degree of inflammation, and the depth of inflammation. The results were graded from 0 to 4, and then were compared. | ||
| 0 = Normal mucosa | ||
| 1 = Minor alterations | ||
| 2 = Apparent inflammation (mild inflammation) | ||
| 3 = More significant inflammation (moderate inflammation) | ||
| 4 = Severe inflammation. | ||
| The Depth of Inflammation | ||
| The severity of proctitis was evaluated pathologically regarding the morphological mucosal damage, the degree of inflammation, and the depth of inflammation. The results were graded from 0 to 4, and then were compared. | ||
| 0 = No apparent inflammation | ||
| 1 = Inflammatory cells extend up to edge of the mucosa (epithelium, lamina propria) but not beyond | ||
| 2 = Inflammatory cells extend through the mucosa and into the submucosa | ||
| 3 = Inflammatory cells infiltrate through submucosa and extends into muscularis propria | ||
| 4 = Inflammatory cells extend through muscularis propria into subserosa. | ||
| Clinical findings | |||||||||||||||||||
|---|---|---|---|---|---|---|---|---|---|---|---|---|---|---|---|---|---|---|---|
| Group (number) | Grade 0 | Grade 1 | Grade 2 | Grade 3 | Grade 4 | ||||||||||||||
| The results of the clinical and macroscopic findings are presented as numbers, with percentages in parentheses. There were no significant differences among the irradiated groups in either the clinical or the macroscopic findings. | |||||||||||||||||||
| ASA5 (n = 10) | 0 (0.0) | 1 (10.0) | 7 (70.0) | 2 (20.0) | 0 (0.0) | ||||||||||||||
| ASA10 (n = 10) | 0 (0.0) | 8 (80.0) | 1 (10.0) | 1 (10.0) | 0 (0.0) | ||||||||||||||
| ASA20 (n = 6) | 0 (0.0) | 1 (16.7) | 2 (33.3) | 2 (33.3) | 1 (16.7) | ||||||||||||||
| Saline (n = 6) | 0 (0.0) | 5 (83.3) | 0 (0.0) | 1 (16.7) | 0 (0.0) | ||||||||||||||
| RT-/ASA20 (n = 7) | 7 (100.0) | 0 (0.0) | 0 (0.0) | 0 (0.0) | 0 (0.0) | ||||||||||||||
| Comparison | P-value | Comparison | P-value | ||||||||||||||||
| The results of the clinical and macroscopic findings are presented as numbers, with percentages in parentheses. There were no significant differences among the irradiated groups in either the clinical or the macroscopic findings. | |||||||||||||||||||
| ASA5 vs. ASA10 | 0.61 | ASA10 vs. ASA20 | 0.12 | ||||||||||||||||
| ASA5 vs. ASA20 | 0.30 | ASA10 vs. Saline | 1.00 | ||||||||||||||||
| ASA5 vs. Saline | 1.00 | ASA20 vs. Saline | 0.30 | ||||||||||||||||
| Macroscopic findings | |||||||||||||||||||
| Group (number) | Grade 0 | Grade 1 | Grade 2 | Grade 3 | Grade 4 | ||||||||||||||
| The results of the clinical and macroscopic findings are presented as numbers, with percentages in parentheses. There were no significant differences among the irradiated groups in either the clinical or the macroscopic findings. | |||||||||||||||||||
| ASA5 (n = 10) | 0 (0.0) | 0 (0.0) | 8 (80.0) | 2 (10.0) | 0 (0.0) | ||||||||||||||
| ASA10 (n = 10) | 0 (0.0) | 5 (50.0) | 5 (50.0) | 0 (0.0) | 0 (0.0) | ||||||||||||||
| ASA20 (n = 6) | 0 (0.0) | 2 (33.3) | 3 (50.0) | 1 (16.7) | 0 (0.0) | ||||||||||||||
| Saline (n = 6) | 0 (0.0) | 2 (33.3) | 3 (50.0) | 1 (16.7) | 0 (0.0) | ||||||||||||||
| RT-/ASA20 (n = 7) | 2 (28.6) | 2 (28.6) | 3 (42.9) | 0 (0.0) | 0 (0.0) | ||||||||||||||
| Comparison | P-value | Comparison | P-value | ||||||||||||||||
| The results of the clinical and macroscopic findings are presented as numbers, with percentages in parentheses. There were no significant differences among the irradiated groups in either the clinical or the macroscopic findings. | |||||||||||||||||||
| ASA5 vs. ASA10 | 0.24 | ASA10 vs. ASA20 | 0.38 | ||||||||||||||||
| ASA5 vs. ASA20 | 1.00 | ASA10 vs. Saline | 0.38 | ||||||||||||||||
| ASA5 vs. Saline | 1.00 | ASA20 vs. Saline | 1.00 | ||||||||||||||||
| Morphological mucosal damage | |||||||||||||||||||||||||||||||||||
|---|---|---|---|---|---|---|---|---|---|---|---|---|---|---|---|---|---|---|---|---|---|---|---|---|---|---|---|---|---|---|---|---|---|---|---|
| Group (number) | Grade 0 | Grade 1 | Grade 2 | Grade 3 | Grade 4 | ||||||||||||||||||||||||||||||
| The results of the pathological findings are presented as numbers, with percentages in parentheses. There were no significant differences among the irradiated groups in the morphological mucosal damage and in the depth of inflammation. Whereas, significant differences were observed between the ASA20 group and the other irradiated groups in the degree of inflammation. | |||||||||||||||||||||||||||||||||||
| ASA5 (n = 10) | 0 (0.0) | 0 (0.0) | 3 (30.0) | 2 (20.0) | 5 (50.0) | ||||||||||||||||||||||||||||||
| ASA10 (n = 7) | 0 (0.0) | 0 (0.0) | 2 (28.6) | 3 (42.9) | 2 (28.6) | ||||||||||||||||||||||||||||||
| ASA20 (n = 6) | 0 (0.0) | 0 (0.0) | 3 (50.0) | 0 (0.0) | 3 (50.0) | ||||||||||||||||||||||||||||||
| Saline (n = 5) | 0 (0.0) | 0 (0.0) | 1 (20.0) | 1 (20.0) | 3 (60.0) | ||||||||||||||||||||||||||||||
| RT-/ASA20 (n = 7) | 7 (100.0) | 0 (0.0) | 0 (0.0) | 0 (0.0) | 0 (0.0) | ||||||||||||||||||||||||||||||
| Comparison | P-value | Comparison | P-value | ||||||||||||||||||||||||||||||||
| The results of the pathological findings are presented as numbers, with percentages in parentheses. There were no significant differences among the irradiated groups in the morphological mucosal damage and in the depth of inflammation. Whereas, significant differences were observed between the ASA20 group and the other irradiated groups in the degree of inflammation. | |||||||||||||||||||||||||||||||||||
| ASA5 vs. ASA10 | 1.00 | ASA10 vs. ASA20 | 0.59 | ||||||||||||||||||||||||||||||||
| ASA5 vs. ASA20 | 0.61 | ASA10 vs. Saline | 1.00 | ||||||||||||||||||||||||||||||||
| ASA5 vs. Saline | 1.00 | ASA20 vs. Saline | 0.55 | ||||||||||||||||||||||||||||||||
| Degree of inflammation | |||||||||||||||||||||||||||||||||||
| Group (number) | Grade 0 | Grade 1 | Grade 2 | Grade 3 | Grade 4 | ||||||||||||||||||||||||||||||
| The results of the pathological findings are presented as numbers, with percentages in parentheses. There were no significant differences among the irradiated groups in the morphological mucosal damage and in the depth of inflammation. Whereas, significant differences were observed between the ASA20 group and the other irradiated groups in the degree of inflammation. | |||||||||||||||||||||||||||||||||||
| ASA5 (n = 10) | 0 (0.0) | 0 (0.0) | 1 (10.0) | 8 (80.0) | 1 (10.0) | ||||||||||||||||||||||||||||||
| ASA10 (n = 7) | 0 (0.0) | 0 (0.0) | 0 (0.0) | 3 (42.9) | 4 (57.1) | ||||||||||||||||||||||||||||||
| ASA20 (n = 6) | 0 (0.0) | 0 (0.0) | 5 (83.3) | 1 (16.7) | 0 (0.0) | ||||||||||||||||||||||||||||||
| Saline (n = 5) | 0 (0.0) | 0 (0.0) | 0 (0.0) | 2 (40.0) | 3 (60.0) | ||||||||||||||||||||||||||||||
| RT-/ASA20 (n = 7) | 6 (85.7) | 1 (14.3) | 0 (0.0) | 0 (0.0) | 0 (0.0) | ||||||||||||||||||||||||||||||
| Comparison | P-value | Comparison | P-value | ||||||||||||||||||||||||||||||||
| The results of the pathological findings are presented as numbers, with percentages in parentheses. There were no significant differences among the irradiated groups in the morphological mucosal damage and in the depth of inflammation. Whereas, significant differences were observed between the ASA20 group and the other irradiated groups in the degree of inflammation. | |||||||||||||||||||||||||||||||||||
| ASA5 vs. ASA10 | 1.00 | ASA10 vs. ASA20 | 0.0047 | ||||||||||||||||||||||||||||||||
| ASA5 vs. ASA20 | 0.0076 | ASA10 vs. Saline | (avaluative) | ||||||||||||||||||||||||||||||||
| ASA5 vs. Saline | 1.00 | ASA20 vs. Saline | 0.015 | ||||||||||||||||||||||||||||||||
| Depth of inflammation | |||||||||||||||||||||||||||||||||||
| Group (number) | Grade 0 | Grade 1 | Grade 2 | Grade 3 | Grade 4 | ||||||||||||||||||||||||||||||
| The results of the pathological findings are presented as numbers, with percentages in parentheses. There were no significant differences among the irradiated groups in the morphological mucosal damage and in the depth of inflammation. Whereas, significant differences were observed between the ASA20 group and the other irradiated groups in the degree of inflammation. | |||||||||||||||||||||||||||||||||||
| ASA5 (n = 10) | 0 (0.0) | 0 (0.0) | 8 (80.0) | 0 (0.0) | 2 (20.0) | ||||||||||||||||||||||||||||||
| ASA10 (n = 7) | 0 (0.0) | 0 (0.0) | 3 (42.9) | 0 (0.0) | 4 (57.1) | ||||||||||||||||||||||||||||||
| ASA20 (n = 6) | 0 (0.0) | 0 (0.0) | 6 (100.0) | 0 (0.0) | 0 (0.0) | ||||||||||||||||||||||||||||||
| Saline (n = 5) | 0 (0.0) | 0 (0.0) | 2 (40.0) | 0 (0.0) | 3 (60.0) | ||||||||||||||||||||||||||||||
| RT-/ASA20 (n = 7) | 7 (100.0) | 0 (0.0) | 0 (0.0) | 0 (0.0) | 0 (0.0) | ||||||||||||||||||||||||||||||
| Comparison | P-value | Comparison | P-value | ||||||||||||||||||||||||||||||||
| The results of the pathological findings are presented as numbers, with percentages in parentheses. There were no significant differences among the irradiated groups in the morphological mucosal damage and in the depth of inflammation. Whereas, significant differences were observed between the ASA20 group and the other irradiated groups in the degree of inflammation. | |||||||||||||||||||||||||||||||||||
| ASA5 vs. ASA10 | 0.16 | ASA10 vs. ASA20 | 0.070 | ||||||||||||||||||||||||||||||||
| ASA5 vs. ASA20 | 0.50 | ASA10 vs. Saline | 1.00 | ||||||||||||||||||||||||||||||||
| ASA5 vs. Saline | 0.25 | ASA20 vs. Saline | 0.061 | ||||||||||||||||||||||||||||||||